| Tufted angioma | |
|---|---|
![]() | |
| Tufted angioblastoma | |
| Specialty | Dermatology |
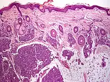
A tufted angioma (also known as an "Acquired tufted angioma," "Angioblastoma," "Angioblastoma of Nakagawa," "Hypertrophic hemangioma," "Progressive capillary hemangioma," and "Tufted hemangioma"[1][2]) usually develops in infancy or early childhood on the neck and upper trunk, and is an ill-defined, dull red macule with a mottled appearance, varying from 2 to 5 cm in diameter.[2]:โ596โ
See also
References
External links
This article is issued from Wikipedia. The text is licensed under Creative Commons - Attribution - Sharealike. Additional terms may apply for the media files.
