Cerebral folate deficiency
Other namesCerebral folate deficiency syndrome, neurodegeneration due to cerebral folate transport deficiency, cerebral folate transport deficiency, FOLR1 deficiency[1][2]
5-methyltetrahydrofolate is decreased in concentration in the human brain
CausesGenetic disorder,[2] autoantibodies
Diagnostic methodLumbar puncture
MedicationFolinic acid
FrequencyFOLR1 mutation, <20 described cases[2]

Cerebral folate deficiency is a condition in which concentrations of 5-methyltetrahydrofolate are low in the brain as measured in the cerebral spinal fluid despite being normal in the blood.[3] Symptoms typically appear at about 5 to 24 months of age.[3][2] Without treatment there may be poor muscle tone, trouble with coordination, trouble talking, and seizures.[3]

One cause of cerebral folate deficiency is a mutation in a gene responsible for folate transport, specifically FOLR1.[2][4] This is inherited in an autosomal recessive manner.[2] Other causes appear to be Kearns–Sayre syndrome[5] and autoantibodies to the folate receptor.[6][7][8]

For people with the FOLR1 mutation, even when the systemic deficiency is corrected by folate, the cerebral deficiency remains and must be treated with folinic acid. Success depends on early initiation of treatment and treatment for a long period of time.[9][3] Fewer than 20 people with the FOLR1 defect have been described in the medical literature.[2]

Signs and symptoms

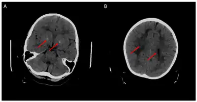
Cerebral CT-scan at 4 years old. Red arrows show brain calcifications (A) and diffuse white matter abnormalities (B). From Mafi et al., 2020[10]

Children with the FOLR1 mutation are born healthy. Symptoms typically appear at about 5 to 24 months of age. The symptoms get worse with time. Without treatment there may be poor muscle tone, trouble with coordination, trouble talking, and seizures.[2][3] In addition, signs of psychomotor retardation, sleep disturbances, cerebellar ataxia, and delayed development of head growth can occur. At around age three, visual disturbances can develop, and sensorineural hearing loss can occur at around age six.[11] In children with cerebral folate deficiency, the cerebrospinal fluid shows low levels of 5MTHF, and a loss of white matter in the brain (leukodystrophy) may occur. As a result of the decreased levels of 5MTHF, the child experiences low levels of Vitamin B folate.[12]  There is inability for the 5MTHF to be transported across the blood-brain barrier, resulting in symptoms of seizures, delayed cognitive and motor processing, and autistic features.[13]

Causes

One cause of cerebral folate deficiency is due to a genetic mutation in the FOLR1 gene. It is inherited in an autosomal recessive manner.[2] The mutation of the FOLR1 gene causes an inability to produce the FRA protein.[12] More commonly, CFD involves the malfunction and disruption of the folate receptor alpha (FRA). One way the FRA can be disrupted is by the attachment of the autoantibodies, causing dysfunction in the receptor. Also, a mitochondrial disease can impact the functioning of the folate receptor alpha. In order for the receptor to function properly, energy from the mitochondria is required. Folate must be actively transported into the brain, so ATP from the mitochondria is essential. If the individual has a mitochondrial disease, the FRA could be lacking adequate energy, resulting in the deficiency of folate in the brain.[12]

Other causes appear to be Kearns–Sayre syndrome[5] and autoantibodies to the folate receptor.[6][7][8] Furthermore, secondary cerebral folate deficiency can develop in patients with other conditions. For example, it can develop in AADC deficiency through the depletion of methyl donors, such as SAM and 5-MTHF, by O-methylation of the excessive amounts of L-dopa present in patients.[14][15]

Treatment

For people with the FOLR1 mutation, even when the systemic deficiency is corrected by folate, the cerebral deficiency remains, and must be treated with folinic acid. Folinic acid is a metabolically active form of folate that can be easily introduced into the folate cycle. A typical dose that is administered to children is 0.5–1 mg/kg daily, but the dose can be increased depending on the severity of symptoms and the age of the child. Over time, the treatment with folinic acid has shown to reduce a variety of symptoms of CFD. The treatment of folinic acid can lead to improvements in walking, speech, interpersonal skills and reduction in seizures.[16] Success depends on early initiation of treatment.[9] Starting the folinic acid treatment before the age of six is more advantageous for the child with CFD. If the treatment is started after the age of six, its results are not as effective.[16] Treatment requires taking folinic acid for a significant period of time.[3] Fewer than 20 people with the FOLR1 defect have been described in the medical literature.[2] Treatment with pharmacologic doses of folinic acid has also led to reversal of some symptoms in children diagnosed with cerebral folate deficiency and testing positive for autoantibodies to folate receptor alpha.[17]

Figures

Folic acid metabolism and 5-MTHF transport across the choroid plexus epithelium in the brain. Red arrows and red crosses indicate the alternative pathway induced by FRα deficiency. Blue arrows indicate effects of folinic acid treatment. KEYS: 5-MTHF: 5-methylenetetrahydrofolate; B6: Vitamin B6; B12: Vitamin B12; CSF: cerebrospinal fluid; DHFR: dihydrofolate reductase; FRα: receptor of folate alpha; Gly: glycine; GSH: glutathione reduced states; GSSG: Glutathione oxidized states; MS: methionine synthase; MTHFD: methylenetetrahydrofolate dehydrogenase; MTHFR: methylenetetrahydrofolate reductase; MTHFS: methylenetetrahydrofolate synthetase; PC: phosphatidylcholine; PCFT: proton coupled folate transporter; PI: phosphatidylinositol; RFC: reduced folate carrier; SAH: S-adenosyl homocysteine; SAM: S-adenosyl-methionine; Ser: Serine; SHMT: serine-hydroxy methyl transferase; SM: sphingomyelin. Figure 1 from Mafi et al., 2020.[10]
Probable mechanism by which folic acid impedes the entry of 5-MTHF into the central nervous system in vulnerable individuals. From Tomoyuki Akiyama et al., 2022.[18] "Transport of folate compounds from the intestine to the brain and competitive inhibition of 5MTHF transport by FA. Conversion of FA to 5MTHF is limited in the intestine and is mainly handled by DHFR in the liver, although its enzymatic activity is low in humans. In contrast, folinic acid is efficiently metabolized to 5MTHF in the intestine and liver. When an excess amount of FA is taken, it cannot be fully reduced by DHFR in the liver and unmetabolized FA appears in the plasma. Because FA has higher affinity to FR1 expressed at the choroid plexus than 5MTHF, it can act as a competitive inhibitor against 5MTHF transport from the plasma to the CSF. In addition, FA cannot be metabolized to 5MTHF efficiently in the brain with extremely low DHFR activity. Thus, excess FA intake may lead to a less effective supply of 5MTHF to the brain compared with that of folinic acid supplementation. Dashed arrows indicate more than one-step enzymatic reactions.
5MTHF, 5-methyltetrahydrofolic acid; CSF, cerebrospinal fluid; DHFR, dihydrofolate reductase; FA, folic acid; FR1, folate receptor 1; MTHFR, methylenetetrahydrofolate reductase; THF, tetrahydrofolate"

See also

References

  1. "Cerebral folate deficiency". rarediseases.info.nih.gov. Archived from the original on 8 January 2019. Retrieved 7 January 2019.
  2. 1 2 3 4 5 6 7 8 9 10 "Cerebral folate transport deficiency". Genetics Home Reference. Retrieved 7 January 2019.
  3. 1 2 3 4 5 6 Gordon, N (2009). "Cerebral folate deficiency". Developmental Medicine and Child Neurology. 51 (3): 180–182. doi:10.1111/j.1469-8749.2008.03185.x. PMID 19260931. S2CID 7373721.
  4. Serrano M, Pérez-Dueñas B, Montoya J, Ormazabal A, Artuch R (2012). "Genetic causes of cerebral folate deficiency: clinical, biochemical and therapeutic aspects". Drug Discovery Today. 17 (23–24): 1299–1306. doi:10.1016/j.drudis.2012.07.008. PMID 22835503.
  5. 1 2 Baumgartner, MR (2013). Vitamin-responsive disorders: cobalamin, folate, biotin, vitamins B1 and E. Handbook of Clinical Neurology. Vol. 113. pp. 1799–1810. doi:10.1016/B978-0-444-59565-2.00049-6. ISBN 9780444595652. PMID 23622402.
  6. 1 2 Hyland K, Shoffner J, Heales SJ (2010). "Cerebral folate deficiency". Journal of Inherited Metabolic Disease. 33 (5): 563–570. doi:10.1007/s10545-010-9159-6. PMID 20668945. S2CID 25555372.
  7. 1 2 Agadi S, Quach MM, Haneef Z (2013). "Vitamin-responsive epileptic encephalopathies in children". Epilepsy Research and Treatment. 2013: 510529. doi:10.1155/2013/510529. PMC 3745849. PMID 23984056.
  8. 1 2 Phillip L. Pearl, MD (4 October 2012). Inherited Metabolic Epilepsies. Demos Medical Publishing. pp. 3–. ISBN 978-1-61705-056-5.
  9. 1 2 Zhao R, Aluri S, Goldman ID (2017). "The proton-coupled folate transporter (PCFT-SLC46A1) and the syndrome of systemic and cerebral folate deficiency of infancy: Hereditary folate malabsorption". Molecular Aspects of Medicine. 53: 57–72. doi:10.1016/j.mam.2016.09.002. PMC 5253092. PMID 27664775.
  10. 1 2 Mafi S, Laroche-Raynaud C, Chazelas P, Lia AS, Derouault P, Sturtz F, Baaj Y, Froget R, Rio M, Benoist JF, Poumeaud F, Favreau F, Faye PA (October 2020). "Pharmacoresistant Epilepsy in Childhood: Think of the Cerebral Folate Deficiency, a Treatable Disease". Brain Sciences. 10 (11): 762. doi:10.3390/brainsci10110762. PMC 7690394. PMID 33105619.
  11. Gordon, Neil (2009). "Cerebral folate deficiency". Developmental Medicine & Child Neurology. 51 (3): 180–182. doi:10.1111/j.1469-8749.2008.03185.x. ISSN 1469-8749. PMID 19260931. S2CID 7373721.
  12. 1 2 3 "Cerebral Folate Deficiency". NORD (National Organization for Rare Disorders). Retrieved 2021-04-06.
  13. McFarland, Robert (2012-07-01). "Cerebral folate deficiency—mishaps and misdirection". Brain. 135 (7): 2002–2003. doi:10.1093/brain/aws166. ISSN 0006-8950. PMID 22734130.
  14. Wassenberg, et al. (2017). "Consensus guideline for the diagnosis and treatment of aromatic l-amino acid decarboxylase (AADC) deficiency". Orphanet J Rare Dis. 12 (1): 12. doi:10.1186/s13023-016-0522-z. PMC 5241937. PMID 28100251.
  15. Pope S, Artuch R, Heales S, Rahman S (July 2019). "Cerebral folate deficiency: Analytical tests and differential diagnosis" (PDF). Journal of Inherited Metabolic Disease. 42 (4): 655–672. doi:10.1002/jimd.12092. PMID 30916789. S2CID 85533164.
  16. 1 2 Hyland, Keith; Shoffner, John; Heales, Simon J. (2010). "Cerebral folate deficiency". Journal of Inherited Metabolic Disease. 33 (5): 563–570. doi:10.1007/s10545-010-9159-6. ISSN 1573-2665. PMID 20668945. S2CID 25555372.
  17. Desai A, Sequeira JM, Quadros EV (2016). "The metabolic basis for developmental disorders due to defective folate transport". Biochimie. 126: 31–42. doi:10.1016/j.biochi.2016.02.012. PMID 26924398.
  18. Akiyama, Tomoyuki; Kuki, Ichiro; Kim, Kiyohiro; Yamamoto, Naohiro; Yamada, Yumi; Igarashi, Kazuya; Ishihara, Tomohiko; Hatano, Yuya; Kobayashi, Katsuhiro (2022-08-06). "Folic acid inhibits 5‐methyltetrahydrofolate transport across the blood–cerebrospinal fluid barrier: Clinical biochemical data from two cases". JIMD Reports. Wiley. 63 (6): 529–535. doi:10.1002/jmd2.12321. ISSN 2192-8312. PMC 9626660. PMID 36341171. S2CID 251426837.
This article is issued from Wikipedia. The text is licensed under Creative Commons - Attribution - Sharealike. Additional terms may apply for the media files.