| Angiolipoma | |
|---|---|
![]() | |
| Large mediastinal angiolipoma | |
| Specialty | Oncology |
Angiolipoma is a subcutaneous nodule with vascular structure, having all other features of a typical lipoma. They are commonly painful.[1]: 624 [2]
Pathology
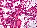
Histopathology
Small vessels in adipose tissue
Small vessels in adipose tissue
Small vessels in adipose tissue
Small vessels in adipose tissue
The vessels typically contain hyaline or fibrin (pictured) thrombi[3]
Diagnosis
Differential diagnosis
See also
References
- ↑ James, William; Berger, Timothy; Elston, Dirk (2005). Andrews' Diseases of the Skin: Clinical Dermatology. (10th ed.). Saunders. ISBN 0-7216-2921-0.
- ↑ Rapini, Ronald P.; Bolognia, Jean L.; Jorizzo, Joseph L. (2007). Dermatology: 2-Volume Set. St. Louis: Mosby. p. 1838. ISBN 978-1-4160-2999-1.
- ↑ Vijay Shankar. "Soft tissue - Adipose tissue tumors - Lipoma and variants - Angiolipoma". Pathology Outlines. Topic Completed: 1 August 2012. Minor changes: 20 March 2019
External links
This article is issued from Wikipedia. The text is licensed under Creative Commons - Attribution - Sharealike. Additional terms may apply for the media files.
