| Myelocyte | |
|---|---|
![]() | |
| Details | |
| Precursor | Promyelocyte |
| Gives rise to | Metamyelocyte |
| Location | Bone marrow |
| Identifiers | |
| TH | H2.00.04.3.04004 |
| FMA | 83525 |
| Anatomical terms of microanatomy | |



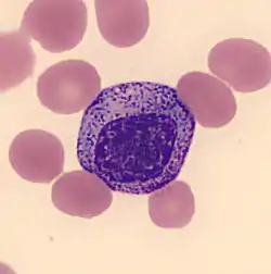
A myelocyte is a young cell of the granulocytic series, occurring normally in bone marrow (can be found in circulating blood when caused by certain diseases).
Structure
When stained with the usual dyes, the cytoplasm is distinctly basophilic and relatively more abundant than in myeloblasts or promyelocytes, even though myelocytes are smaller cells.
Numerous cytoplasmic granules are present in the more mature forms of myelocytes. Neutrophilic and eosinophilic granules are peroxidase-positive, while basophilic granules are not.
The nuclear chromatin is coarser than that observed in a promyelocyte, but it is relatively faintly stained and lacks a well-defined membrane.
The nucleus is fairly regular in contour (not indented), and seems to be 'buried' beneath the numerous cytoplasmic granules. (If the nucleus were indented, it would likely be a metamyelocyte.)
Measurement
There is an internationally agreed method of counting blasts, with results from M1 upwards.
Development
Promyelocyte → Myelocytes → metamyelocytes.
Additional images
Hematopoiesis
References
- ↑ Histology image:01809loa from Vaughan, Deborah (2002). A Learning System in Histology: CD-ROM and Guide. Oxford University Press. ISBN 978-0195151732.
- ↑ Histology image:01810loa from Vaughan, Deborah (2002). A Learning System in Histology: CD-ROM and Guide. Oxford University Press. ISBN 978-0195151732.
- ↑ Histology image:01804loa from Vaughan, Deborah (2002). A Learning System in Histology: CD-ROM and Guide. Oxford University Press. ISBN 978-0195151732.
External links
- Neutrophilic Myelocyte Presented by the University of Virginia
- Eosinophilic Myelocyte Presented by the University of Virginia
- Basophilic Myelocyte Presented by the University of Virginia
- Image at queensu.ca Archived 2007-08-27 at the Wayback Machine
