Boxer's fracture
Other namesMetacarpal neck fracture of the little finger, scrapper's fracture,[1] bar room fracture, street fighter's fracture[1]
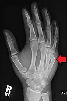
Boxer's fracture of the 5th metacarpal head from punching a wall
SpecialtyEmergency medicine, orthopedics
SymptomsPain, depressed knuckle[2]
CausesHits an object with a closed fist[3]
Diagnostic methodBased on symptoms and confirmed by X-rays[3]
TreatmentBuddy taping and a tensor bandage, reduction and splinting[4][3]
MedicationIbuprofen, paracetamol (acetaminophen)[3]
PrognosisGenerally good[4]
Frequency20% of hand fractures[4]

A boxer's fracture is the break of the 5th metacarpal bones of the hand near the knuckle.[4] Occasionally it is used to refer to fractures of the 4th metacarpal as well.[1] Symptoms include pain and a depressed knuckle.[2]

Classically, it occurs after a person hits an object with a closed fist.[3] The knuckle is then bent towards the palm of the hand.[3] Diagnosis is generally suspected based on symptoms and confirmed with X-rays.[3]

For most fractures with less than 70 degrees of angulation, buddy taping and a tensor bandage resulted in similar outcomes to reduction with splinting.[4] In those with more than 70 degrees of angulation or in which the broken finger is rotated, reduction and splinting may be recommended.[3]

They represent about a fifth of hand fractures.[4] They occur more commonly in males than females.[4] Both short and long term outcomes are generally good.[4] The knuckle, however, typically remains somewhat deformed.[5]

Signs and symptoms

The symptoms are pain and tenderness in the specific location of the hand, which corresponds to the metacarpal bone around the knuckle. When a fracture occurs, there may be a snapping or popping sensation. There will be swelling of the hand along with discoloration or bruising in the affected area. Abrasions or lacerations of the hand are also likely to occur. The respective finger may be misaligned, and movement of that finger may be limited and painful.

Causes

Metacarpal fractures are usually caused by the impact of a clenched fist with a hard, immovable object, such as a skull or a wall.[6] When a punch impacts with improper form, the force occurs at an angle towards the palm, creating a dorsal bend in the bone, ultimately causing the fracture when the bone is bent too far.

When a boxer punches with proper form, the knuckles of the second and third metacarpal align linearly with the articulating radius, followed linearly by the humerus. Due to the linear articulation of bones, the force is able to travel freely across these joints and bones and be dissipated without injury. Therefore, fractures of the second or third metacarpals are rare, with fractures of the 4th and 5th metacarpals comprising the vast majority of metacarpal fractures.[7]

Diagnosis

Diagnosis by a doctor's examination is the most common, often confirmed by x-rays. X-ray is used to display the fracture and the angulations of the fracture. A CT scan may be done in very rare cases to provide a more detailed picture.

Prevention

Boxers and other combat athletes routinely use hand wraps and boxing gloves to help stabilize the hand, greatly reducing pain and risk of injury during impact. Proper punching form is the most important factor to prevent this type of fracture.

Treatment

Ice is applied to relieve pain and swelling. Any open wounds are cleansed to avoid infection.

For most fractures with less than 70 degrees of angulation, buddy taping and a tensor bandage resulted in similar outcomes to reduction with splinting.[4] Conservative treatment with early mobilization has also been found non-inferior when compared to surgical treatment with bouquet pinning for fractures presenting with less than 45 degrees of palmar angulation.[8]

In rare cases when the fracture causes rotational deformity or severe angulation surgery may be required to place pins or plates in the bone to hold the pieces in place.[9][10]

Prognosis

A healed fracture of the neck of the 5th metacarpal

Prognosis for these fractures is generally good, with total healing time not exceeding 12 weeks. The first two weeks will show significantly reduced overall swelling, with improvement in clenching ability showing up first. Ability to extend the fingers in all directions appears to improve more slowly. Hard casts are rarely required, and soft casts or splints can be removed for brief periods of time to allow for cleaning and drying the skin underneath the splint.[11] Pain from injury varies person to person as with most injuries. Depending on the individual a course of over the counter or narcotic pain medication will suffice. Muscle atrophy of 5 to 15 percent may be expected, with a rehabilitation period of approximately 4 months given adequate therapy. In the mildest of cases, full rehabilitation status can be achieved within 3 to 4 months.

Epidemiology

Hand and wrist injuries are reported to account for fifteen to twenty percent of emergency room injuries, and metacarpal fractures represent a significant number of those injuries. Hand injuries of this sort are most prevalent among fifteen- to thirty-five-year-old males, and the fifth metacarpal is the one most commonly affected.[12]

Males are nearly fifty percent more likely to sustain fracture from a punch mechanism than females. Male intentional punch injuries are correlated predominantly with social deprivation, while female punch intentional injuries show more correlation with psychiatric disorders.[13] Approximately 3.7 male hand injuries, per 1000, per year, and 1.3 female hand injuries, per 1000, per year, have been reported. Common mechanisms of injury are gender specific. Although the fiscal cost is not available, it can be asserted that the cost is reasonably significant per individual, depending on the cost of emergency care, immobilization, surgery, follow up doctors' visits, etc. in addition to the fiscal impact from loss of and/or limited work abilities.

Terminology

As these are colloquial terms, texts and medical dictionaries do not universally agree on precise meanings. Various authorities state that a "boxer's fracture" means a break in specifically the second metacarpal bone or third metacarpal bone,[14] with "bar room fracture" being specific to the fourth metacarpal bone or fifth metacarpal bone.[15] This is derived from boxers properly punching through the 2nd and 3rd knuckles, whereas inexperienced fighters often connect with the weaker 4th and 5th. Though some writers assert that boxer's fracture and bar room fracture are distinct terms representing injuries to different bones, this distinction seems to have been lost and most medical professionals now describe any metacarpal fracture as a "boxer's fracture".

References

  1. 1 2 3 Raby, Nigel; Berman, Laurence; Morley, Simon; Lacey, Gerald de (2014). Accident and Emergency Radiology: A Survival Guide E-Book. Elsevier Health Sciences. p. 163. ISBN 9780702050312. Archived from the original on 2017-10-12.
  2. 1 2 "Hand Fractures-OrthoInfo - AAOS". orthoinfo.aaos.org. October 2007. Archived from the original on 17 June 2017. Retrieved 12 October 2017.
  3. 1 2 3 4 5 6 7 8 Keenan, M (September 2013). "Managing boxer's fracture: a literature review". Emergency Nurse. 21 (5): 16, 18–24. doi:10.7748/en2013.09.21.5.16.e1198. PMID 24024723.
  4. 1 2 3 4 5 6 7 8 9 Dunn, JC; Kusnezov, N; Orr, JD; Pallis, M; Mitchell, JS (1 May 2016). "The Boxer's Fracture: Splint Immobilization Is Not Necessary". Orthopedics. 39 (3): 188–92. doi:10.3928/01477447-20160315-05. PMID 27018606.
  5. Gupta, Shivani; Diwan, Amna; Perone, Richard W.; Smith, R. Malcolm; Wenokor, Cornelia (2009). Musculoskeletal Trauma Simplified: A casebook to aid diagnosis & management. tfm Publishing Limited. p. 99. ISBN 9781908986504. Archived from the original on 2017-10-13.
  6. Altizer, L (Jul–Aug 2006). "Boxer's fracture". Orthopaedic Nursing. 25 (4): 271–3, quiz 274–5. doi:10.1097/00006416-200607000-00010. PMID 16900073.
  7. Soong, M; Got, C; Katarincic, J (Aug 2010). "Ring and little finger metacarpal fractures: mechanisms, locations, and radiographic parameters". The Journal of Hand Surgery. 35 (8): 1256–9. doi:10.1016/j.jhsa.2010.05.013. PMID 20684925.
  8. Sletten, I. N.; Hellund, J. C.; Olsen, B.; Clementsen, S.; Kvernmo, H. D.; Nordsletten, L. (January 2015). "Conservative treatment has comparable outcome with bouquet pinning of little finger metacarpal neck fractures: a multicentre randomized controlled study of 85 patients". Journal of Hand Surgery (European Volume). 40 (1): 76–83. doi:10.1177/1753193414560119. ISSN 1753-1934. PMID 25427553. S2CID 42603471.
  9. Page 42 Archived 2017-11-05 at the Wayback Machine in: Weinzweig, Jeffrey (1999). Hand & Wrist Surgery Secrets (The Secrets Series). Philadelphia: Hanley & Belfus. ISBN 978-1-56053-364-1.
  10. GREEN'S OPERATIVE HAND SURGERY : 2-volume set. [S.l.]: ELSEVIER - HEALTH SCIENCE. 2022. ISBN 978-0-323-69793-4. OCLC 1255690810.
  11. Connolly, J.(M.D. F.A.C.S). (1981). The Management of Fractures and Dislocations. Philadelphia, PA: W.B. Saunders Company.
  12. van Onselen, EB; Karim, RB; Hage, JJ; Ritt, MJ (Oct 2003). "Prevalence and distribution of hand fractures". Journal of Hand Surgery (Edinburgh, Scotland). 28 (5): 491–5. doi:10.1016/S0266-7681(03)00103-7. PMID 12954264. S2CID 41624160.
  13. Jeanmonod, RK; Jeanmonod, D; Damewood, S; Perry, C; Powers, M; Lazansky, V (Feb 2011). "Punch injuries: insights into intentional closed fist injuries". The Western Journal of Emergency Medicine. 12 (1): 6–10. PMC 3088367. PMID 21691465.
  14. "Boxer fracture". Radiopaedia. Archived from the original on 26 June 2015. Retrieved 24 June 2015.
  15. Terry R. Yochum; Lindsay J. Rowe (2004). Essentials of Skeletal Radiology (3rd ed.). Baltimore, MD: Lippincott Williams & Wilkins. ISBN 978-0781739467.
This article is issued from Wikipedia. The text is licensed under Creative Commons - Attribution - Sharealike. Additional terms may apply for the media files.